Hjärnmikrobiom: magbakterier i den mänskliga hjärnan


Granskad och godkänd av psykologen Gema Sánchez Cuevas
Under det sista årliga mötet hos Samfundet för Neurovetenskap vid University of Alabama at Birmingham presenterade forskarna en rapport som visade hur vissa tarmbakterier levde i olika regioner i hjärnan; närmare bestämt i dess hjärnmikrobiom.
Denna upptäckt är både fascinerande och skrämmande. Det finns fortfarande ingen förklaring på hur bakterierna har nått hjärnan eller huruvida de är fördelaktiga eller skadliga. Experterna tror även att de kan påverka humöret och kanske personligheten.
Vad är tarmbakterier?
Tarmbakterierna är en uppsättning mikroorganismer som lever i dina tarmar. Det finns runt hundra biljoner olika bakteriearter. Dessa utgörs i sin tur av över tre miljoner gener. Av alla dessa så har människan generellt bara en tredjedel. Resten är specifika för varje person. Tarmbakterierna är därför en viktig del av varje persons identitet.
Vissa av dess viktigaste funktioner inkluderar att reglera immunförsvaret, näringsupptaget och att kontrollera externa patogener. Förändringar hos tarmbakterierna kan ge upphov till immunförsvarssjukdomar, allergier eller infektioner. Faktum är att forskarna har länkat det till Alzheimers och Parkinsons.
Obalanser i denna magflora skapar endotoxiner, höga oxidationsnivåer, och ackumuleringen av magfett. Kronisk inflammation orsakar dessutom kardiovaskulära problem och diabetes.
Det finns en stor rädsla bland folk för mikrober och bakterier, men faktum är att du inte kan leva utan dem. Du har biljoner levande varelser som samexisterar i din kropp, utan att du vet om det.

Hjärnmikrobiom
Forskarna har börjat fråga sig själva hur dessa bakterier kommer in i hjärnan eftersom den är skyddad av hjärnans blodsbarriär, som är ett skydd mot främmande substanser. Den tillåter att vatten, lösliga molekyler och vissa gaser passerar. Den låter dessutom vissa aminosyror och andra molekyler passera. Men de bakterier som finns i hjärnan kommer för det mesta från magen.
De är glialceller som ger stöd åt neuroner och astrocyter och blockerar nervgifter och andra substanser i hjärnan. Dessa skadliga substanser producerar ofta inflammationer med väldigt negativa och även dödliga konsekvenser då de lyckas penetrera barriären på något sätt. Men det intressanta är att astrocyterna verkar vara en favoritplats för dessa tarmbakterier.
Forskarna har påpekat att bakterierna kan gå igenom tarmnerverna, hjärnans barriär eller näsen. Den riktiga orsaken är dock fortfarande okänd. Det finns fortfarande mycket kvar att undersöka gällande denna hjärnmikrobiom.

Utredningen
Dr. Rosalinda Roberts och hennes lag från fakulteten för psykiatri och beteendemässig neurobiologi vid University of Alabama at Birmingham har gjort denna upptäckt. De studerade hjärnan hos 34 personer. Hälften av dem var friska och den andra hälften led av schizofreni. De utförde dessutom en annan studie parallellt med möss, för att utesluta att bakterierna endast uppstod efter döden eller om det kunde bero på kontaminering..
I båda studierna kunde de observera förekomsten av både hjärnorna hos människor och möss, och slå fast att det inte orsakats av infektioner eller traumatiska situationer. Faktum är att de hittade dem i flera områden i hjärnan. Främst i svarta kärnan, hippocampus samt den prefrontala hjärnbarken och väldigt lite i striaten. Ingen av hjärnorna uppvisade tecken på inflammation.
Dessa resultat har öppnat dörren för spekulation och ny forskning rörande denna hjärnmikrobiom. För närvarande undersöker man om dessa mikrober är relaterade till beteende, humör och vissa neurologiska sjukdomar.
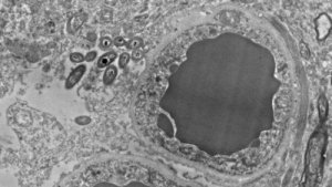
Bilder: Rosalinda Roberts, Courtney Walker, och Charlene Farmer
Under det sista årliga mötet hos Samfundet för Neurovetenskap vid University of Alabama at Birmingham presenterade forskarna en rapport som visade hur vissa tarmbakterier levde i olika regioner i hjärnan; närmare bestämt i dess hjärnmikrobiom.
Denna upptäckt är både fascinerande och skrämmande. Det finns fortfarande ingen förklaring på hur bakterierna har nått hjärnan eller huruvida de är fördelaktiga eller skadliga. Experterna tror även att de kan påverka humöret och kanske personligheten.
Vad är tarmbakterier?
Tarmbakterierna är en uppsättning mikroorganismer som lever i dina tarmar. Det finns runt hundra biljoner olika bakteriearter. Dessa utgörs i sin tur av över tre miljoner gener. Av alla dessa så har människan generellt bara en tredjedel. Resten är specifika för varje person. Tarmbakterierna är därför en viktig del av varje persons identitet.
Vissa av dess viktigaste funktioner inkluderar att reglera immunförsvaret, näringsupptaget och att kontrollera externa patogener. Förändringar hos tarmbakterierna kan ge upphov till immunförsvarssjukdomar, allergier eller infektioner. Faktum är att forskarna har länkat det till Alzheimers och Parkinsons.
Obalanser i denna magflora skapar endotoxiner, höga oxidationsnivåer, och ackumuleringen av magfett. Kronisk inflammation orsakar dessutom kardiovaskulära problem och diabetes.
Det finns en stor rädsla bland folk för mikrober och bakterier, men faktum är att du inte kan leva utan dem. Du har biljoner levande varelser som samexisterar i din kropp, utan att du vet om det.

Hjärnmikrobiom
Forskarna har börjat fråga sig själva hur dessa bakterier kommer in i hjärnan eftersom den är skyddad av hjärnans blodsbarriär, som är ett skydd mot främmande substanser. Den tillåter att vatten, lösliga molekyler och vissa gaser passerar. Den låter dessutom vissa aminosyror och andra molekyler passera. Men de bakterier som finns i hjärnan kommer för det mesta från magen.
De är glialceller som ger stöd åt neuroner och astrocyter och blockerar nervgifter och andra substanser i hjärnan. Dessa skadliga substanser producerar ofta inflammationer med väldigt negativa och även dödliga konsekvenser då de lyckas penetrera barriären på något sätt. Men det intressanta är att astrocyterna verkar vara en favoritplats för dessa tarmbakterier.
Forskarna har påpekat att bakterierna kan gå igenom tarmnerverna, hjärnans barriär eller näsen. Den riktiga orsaken är dock fortfarande okänd. Det finns fortfarande mycket kvar att undersöka gällande denna hjärnmikrobiom.

Utredningen
Dr. Rosalinda Roberts och hennes lag från fakulteten för psykiatri och beteendemässig neurobiologi vid University of Alabama at Birmingham har gjort denna upptäckt. De studerade hjärnan hos 34 personer. Hälften av dem var friska och den andra hälften led av schizofreni. De utförde dessutom en annan studie parallellt med möss, för att utesluta att bakterierna endast uppstod efter döden eller om det kunde bero på kontaminering..
I båda studierna kunde de observera förekomsten av både hjärnorna hos människor och möss, och slå fast att det inte orsakats av infektioner eller traumatiska situationer. Faktum är att de hittade dem i flera områden i hjärnan. Främst i svarta kärnan, hippocampus samt den prefrontala hjärnbarken och väldigt lite i striaten. Ingen av hjärnorna uppvisade tecken på inflammation.
Dessa resultat har öppnat dörren för spekulation och ny forskning rörande denna hjärnmikrobiom. För närvarande undersöker man om dessa mikrober är relaterade till beteende, humör och vissa neurologiska sjukdomar.
Bilder: Rosalinda Roberts, Courtney Walker, och Charlene Farmer
Samtliga citerade källor har granskats noggrant av vårt team för att säkerställa deras kvalitet, tillförlitlighet, aktualitet och giltighet. Bibliografin för denna artikel ansågs vara tillförlitlig och av akademisk eller vetenskaplig noggrannhet.
- Barksdale KA, Perez-Costas E, Gandy JC, Melendez-Ferro M, Roberts RC*, Bijur GN* (2010) Mitochondrial viability in mouse and human postmortem brain. FASEB J, 24(9):3590-3599
- Do gut bacteria make a second home in our brains? (2018, November 9). Retrieved March 4, 2019, from https://www.sciencemag.org/news/2018/11/do-gut-bacteria-make-second-home-our-brains
Denna text erbjuds endast i informativt syfte och ersätter inte konsultation med en professionell. Vid tveksamheter, rådfråga din specialist.







